歯のセラミック治療とは?
治療の種類やメリット・デメリットを解説

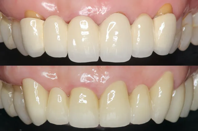
虫歯治療で使用される金属製の銀歯は、保険適用となるため安価で治療ができますが、不自然に目立つことがネックです。そのため、保険適用外の自費治療である「セラミック治療」を検討している方もいるでしょう。セラミック治療は、天然歯に近い白さに仕上げられるため、近年注目されている治療方法です。
今回は、セラミック治療の概要から銀歯との違い、セラミック治療の種類、セラミック治療のメリット・デメリットまでを解説します。銀歯を装着している方や、虫歯治療中で白くて美しい歯を手に入れたい方は、ぜひ最後まで読んでみてください。
目次
歯のセラミック治療とは?

意外と知られていませんが、セラミックの歯の素材は陶材です。つまり、洗面所やお皿などに使われている陶器と同じ素材で作られています。セラミックを使えば、従来の歯と同じく自然な輝きになるため、審美で使われるようになりました。
銀歯などに比べて強度が高く、金属アレルギーにならず、汚れも付きにくいことから、セラミックはまさに歯科にふさわしい素材であると言えます。
「これまでの歯の形や歯並びに納得できない」「噛み合わせに問題を抱えている」という場合は、すべての歯ではなく、一番見える前歯部分あるいは差し歯、被せ物などを1本だけセラミックにする方法もあるでしょう。
すべての歯や前歯部分をセラミックにする場合は、より美しい歯を手に入れるためという目的がほとんどです。一方で、差し歯や被せ物をセラミックに変えるケースでは、強度や自然さ、他の歯に悪影響が出ないことが目的となっています。
ホワイトニングとして人気を集めるセラミック治療
セラミックで作られた歯は、透明感のある自然な白さと美しさがあることから、虫歯治療ではなくホワイトニングの治療法として選択されることもあります。
ホワイトニング目的のセラミック治療では、変色した部分を薄く削り取り、表面に薄いセラミックを貼り付けます。セラミックはどのような形状にも製作できるため、欠けた歯の審美修復や歯並び矯正に用いることも可能です。
治療回数が少なく短期間で天然歯のような仕上がりを実現できるため、ホワイトニングにおいてもセラミック治療は人気が高まっています。
銀歯とセラミックの違い

銀歯(金銀パラジウム合金)は、安価で強度が高いことから、保険治療の歯科材料として積極的に使用されている素材です。しかし、審美治療で使用されるセラミックと異なり、治療部分が銀色となるため、話したり笑ったりするときに目立つことがデメリットです。また、銀歯を長期間使い続けることには、審美的観点以外の問題が生じる恐れもあります。
ここからは、銀歯を使い続けることで生じる問題点について解説します。
銀歯は接着部分が破損することがある
銀歯は、虫歯治療を行って残った歯に、歯科用の接着剤を使用して接着します。銀歯の素材は熱で膨張して冷やすと縮むという性質を持つため、銀歯で生活しているうちに、接着部分に使用されている接着剤が破損する場合があります。また、咀嚼や食いしばりなどの強い力でゆがみや変形が起こることで、接着部分に隙間ができるケースもあります。
銀歯の接着部分が破損すると、隙間から徐々に虫歯菌が入り、知らない間に虫歯が進行する原因となるため注意が必要です。接着部分のわずかな破損は気づかないことが多く、銀歯が外れるころには虫歯が神経に到達していることもめずらしくありません。
その点、セラミックの場合は熱や咬合力による変形に強いため、接着部分の破損が生じにくいことが特徴です。接着剤も、強度の高い保険外治療の材料を使用します。銀歯の接着部分の破損による虫歯リスクを回避したい場合は、セラミックを検討するとよいでしょう。
銀歯は金属アレルギーが出ることがある
銀歯の素材として使用される金属(パラジウム)は、唾液や飲食物に含まれる酸やアルカリにさらされることで、少しずつ金属イオンとして溶け出します。パラジウムは、金属アレルギーの原因となりやすいと言われている金属です。銀歯を長期的に装着していると、金属イオンとして溶け出したパラジウムがきっかけとなり、金属アレルギーの症状が現れることもあります。
もちろん、金属アレルギーの原因となる金属はさまざまな種類が存在するため、銀歯が必ずアレルギーにつながるわけではありません。しかし、金属に敏感に反応しやすい方は、できるだけ口内には金属歯科素材を使用しないことが理想的です。
セラミックは金属素材ではないため、アレルギーを起こす心配はありません。金属アレルギーが気になる方は、銀歯をセラミックへ変えることも選択肢のひとつです。
銀歯は歯茎を黒くすることがある
銀歯から口内に溶け出した金属イオンが歯茎に浸透して黒く変色する場合もあります。銀歯で変色した歯茎はタトゥーのように変色することからメタルタトゥーと呼ばれ、銀歯を取っても元の歯茎の色には戻りません。特に、前歯や前歯周辺の歯茎が黒く変色すると目立つため、見た目の印象にも影響を与えてしまいます。
メタルタトゥーを除去するためには、レーザーを使用した特殊な治療が必要となります。
セラミックであれば、金属が溶け出すことはありません。健康的なピンク色の歯茎を維持したい方は、銀歯からセラミックへ交換することを視野に入れましょう。
歯のセラミック治療の種類
セラミックと一口に言っても、素材や特性により複数の種類に分けられます。審美目的や健康目的で歯のセラミック治療を検討している方は、セラミックの種類について把握することが大切です。
ここからは、セラミック治療で用いられる代表的なセラミックの種類を解説します。
ラミネートべニア
ラミネートべニアは、歯の表面を薄く削り、シェル上の薄いセラミックを貼り付ける治療法です。セラミックを貼り付けた部分は、天然歯のように自然で美しく仕上がりになります。また、歯を削る量が少ないため、短時間で治療できることもラミネートべニアのメリットです。
ラミネートべニアは主に審美目的で使用されることが多く、前歯などの目立つ部分の歯の形や歯並びを整える用途に適しています。
オールセラミッククラウン
オールセラミッククラウンは、セラミックのみで作られるクラウン(被せ物)です。審美性に優れており、天然歯に近い透明感のある白くて美しい歯を実現できることが特徴です。精巧なオールセラミッククラウンは、天然歯と見分けが付かないとも言われます。金属アレルギーや歯茎の黒ずみを心配する必要もありません。
オールセラミッククラウンは、かつて強度・耐久性が不足していることが問題視されていました。しかし、高強度なオールセラミック素材が登場したことにより、近年はセラミッククラウン素材の主流となっています。
メタルボンドクラウン
メタルボンドクラウンは、金属フレームの表面にセラミックを焼き付けて作られたクラウンです。内側に金属を使用しているためオールセラミックには劣りますが、天然歯に近い自然で美しい歯に仕上げることができます。フレームに使用される金属は、ゴールドやプラチナなどの貴金属が使用されているため、金属アレルギーのリスクも低いことが特徴です。
金属の強度とセラミックの審美性を兼ね備えている優れた歯科材料として、メタルボンドクラウンは奥歯やブリッジなどの部位に適しています。
ジルコニアクラウン
ジルコニアクラウンは、セラミックの一種であるジルコニアを使用して作られたクラウンです。ジルコニアは、人工関節やスペースシャトルの外壁にも使用される、軽量で非常に高い強度を持つセラミックです。金属を使用していないにもかかわらず、高い強度と審美性を兼ね備えています。
ジルコニアクラウンは、噛み合わせによる高い負荷がかかる部分にも適しているため、セラミック治療の歯科材料として大きな注目を集めています。
セラミックインレー・アンレー
セラミックインレー・アンレーは、セラミック素材で作られた歯の詰め物です。セラミッククラウンと同じく審美性に優れており、歯を削った部分に装着しても自然に馴染むことが特徴です。
セラミックインレー・アンレーは、クラウンを使用するほどではない、軽度から中程度の虫歯のセラミック治療に用いられます。軽度の虫歯の詰め物をインレー、中程度の虫歯の詰め物をアンレーと呼びます。ただし、虫歯を削った部分に隙間ができないよう高い精度で製作・装着する必要があり、形状が複雑であることから、クラウンよりも難易度の高い治療法となります。
歯のセラミック治療を行う5つのメリット
銀歯とセラミックの素材自体の違いによる魅力以外にも、歯のセラミック治療を行うことには5つのメリットが挙げられます。「白い歯に憧れている」「健やかな口内環境を保ちたい」という方は、歯のセラミック治療を行うメリットを知っておきましょう。
セラミックの歯にするメリットには、下記の5点が挙げられます。
自然で美しい白い歯を手に入れられる

セラミックは、その方の他の歯のカラーに合わせて自由に着色できる、透明感のある素材であるため、自然な歯の色を再現できます。
1本の差し歯をセラミックに変える場合も、周囲の歯と違和感なく仕上げることができるため、安心です。また、差し歯ではなく審美的にセラミックを使う場合には、歯の隙間を埋めるよう作成したり歯の大きさを調整したりして、バランスよく仕上げることができます。
着色汚れやバイ菌が付きづらい

セラミックは陶材という汚れの付きにくい素材であるため、コーヒー紅茶、ワインなどの着色しやすい飲み物を飲んでも色が付着しません。歯垢などの汚れも取れやすく、バイ菌も付きづらいことから、セラミック治療は歯の健康を守るためにも非常に有効な手段です。
普通の歯の場合は着色汚れやバイ菌などの悩みは絶えませんが、それがなくなることもセラミックに変える強みです。
劣化しにくい

セラミックは陶材を使用しており、劣化しにくいことも特徴です。家の中で陶器が使われている部分は、他の箇所に比べてキレイだと感じた経験がある方は多いでしょう。他の箇所は掃除をしてもキレイになりにくても、陶器が使われている部分は掃除をすればまたピカピカの状態に戻ります。
特に酸性~弱アルカリ性に変化する唾液にさらされている環境で、雑菌も増えやすい口の中では、どのような素材も激しく劣化してしまうものですが、陶材なら劣化する心配はありません。
このように、セラミックは外部からの影響を受けにくいという性質を持っているため、劣化せず長期間使い続けられることはうれしいポイントです。
二次カリエスが起こらない

二次カリエスとは、虫歯治療後に再び虫歯になることです。通常の虫歯治療では詰め物や被せ物の治療をしますが、時間が経つと詰め物や被せ物が劣化します。詰め物や被せ物が劣化すると歯との接着面がゆるみ、隙間ができてしまいます。その隙間から虫歯菌が入って再度虫歯になることを二次カリエスと言います。
セラミックの場合、歯を削って歯の根本部分からセラミックで覆っていくという方法になります。他の素材は劣化して被せ物がうまく機能しなくなる場合もありますが、セラミックは劣化しない素材のため、二次カリエスが起こる心配はありません。
他の歯や体への負担が少ない

セラミックではなく金属が使われた差し歯の場合、歯の根本の歯茎が黒ずんでしまう「ブラックライン」という審美性を悪くする現象が起きることもあります。これは金属イオンが歯茎に沈着することによって起こる現象です。
そのほかにも、銀歯や金属のフレームなどを使った場合、金属アレルギーになってしまう可能性があります。セラミックであれば、歯茎の黒ずみや金属アレルギーが起こる心配はなく、他の歯や体に負担がかかりません。
歯のセラミック治療を行う3つのデメリット
セラミックには銀歯とは異なる魅力がたくさんありますが、メリットばかりではありません。歯のセラミック治療には、いくつかのデメリットも存在します。
最後に、歯をセラミックに変える3つのデメリットを紹介します。歯のセラミック治療を行うかどうか悩んでいる方は、メリットとデメリットを踏まえて判断しましょう。
硬い材質のため衝撃で割れることもある

セラミックは固くて強度が高いことから、強い衝撃を与えると割れやすいという性質があります。そのため、歯をぶつけたり歯ぎしりしたりする衝撃で、セラミックが割れる可能性があります。「マウスピースをしっかりつける」「強度の高いセラミックを選ぶ」などの対策を取るようにしましょう。
歯を削る量が多い

セラミック治療は、歯を削る量が多くなるという特徴もあります。セラミックの場合、歯茎から生えているような形で歯の奥部分までカバーすること、ある程度の厚みがなければ強度を保てないことから、本来の歯自体を削る量が多くなります。セラミックにすることによって歯の健康や審美性が保てることは事実ですが、歯を削る量が多くなることを懸念される方もいるでしょう。
かかる費用が高い

保険診療外となるため、セラミック治療にかかる費用はどうしても高くなってしまいます。しかし、その分半永久的に美しい歯でいられること、健康を保てることを考えれば、安いと思える方もいるでしょう。
まとめ
セラミック治療は、天然歯に近い仕上がりを実現できるため、多くの方から注目を集めている治療法です。保険治療の銀歯と比べると、審美面だけではなく健康面においてもメリットが大きく、セラミックの歯へ取り換えを希望する方も増えています。
セラミック治療は自費治療となりますが、長期間口内に装着することを考えると、安いと感じる方もいるかもしれません。コスト面を除けば、セラミック治療は非常に優れた治療法です。白くて美しい歯を手に入れたい方は、まずは1本お試しでセラミック治療を受けてみてはいかがでしょうか。





